ВАЖЛИВО
Перед будь-яким стоматологічним лікуванням важливо пройти ДІАГНОСТИКУ. Лікар огляне вашу ротову порожнину, визначить справжню причину проблеми та підбере оптимальний план лікування.
САМОЛІКУВАННЯ АБО ВИБІР ПРОЦЕДУРИ БЕЗ ПРОФЕСІЙНОЇ ПОРАДИ МОЖЕ ПРИЗВЕСТИ ДО УСКЛАДНЕНЬ І НАШКОДИТИ ВАШОМУ ЗДОРОВ'Ю.
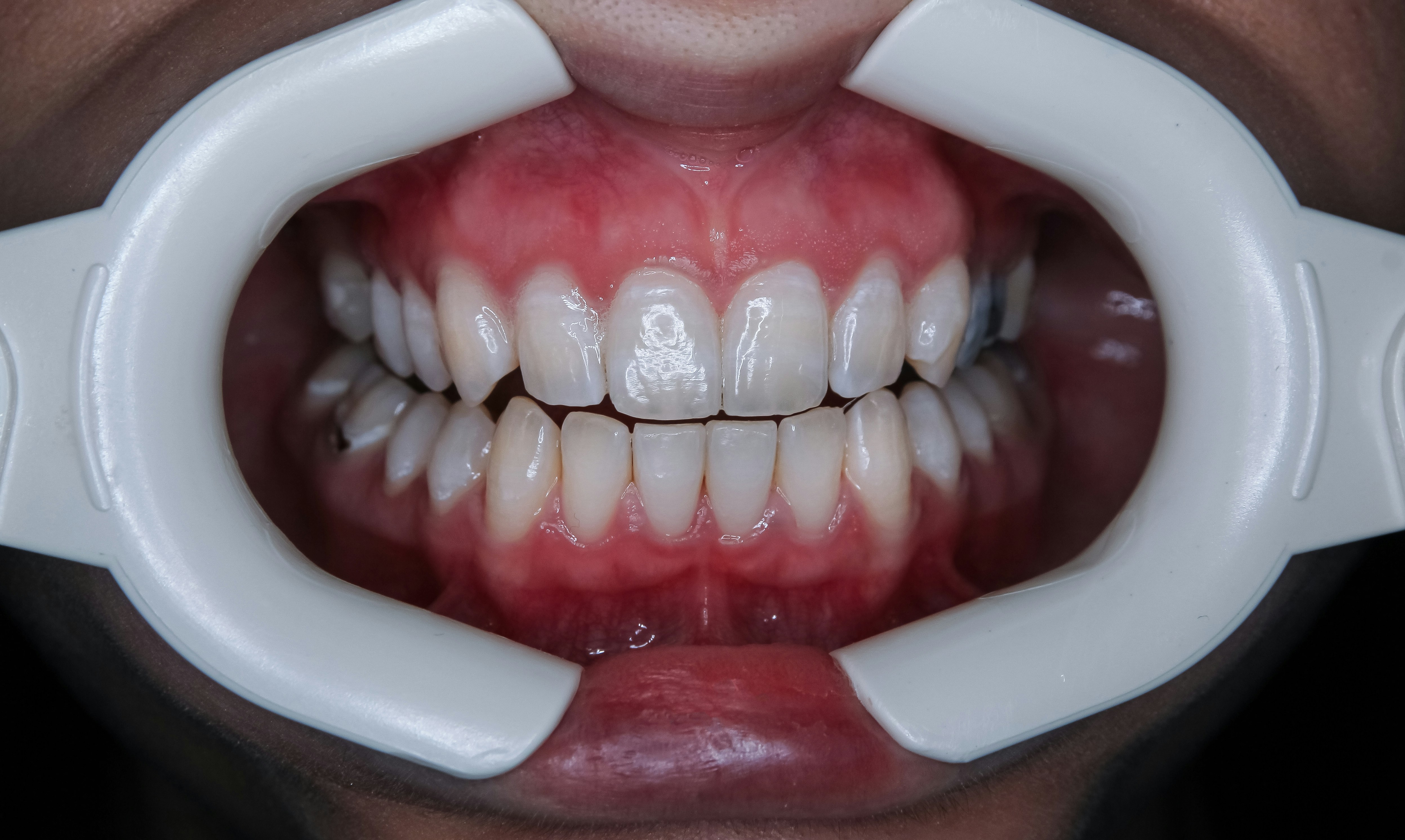
Терапія
ЛІКУВАННЯ КАРІЄСУ ТА ЙОГО УСКЛАДНЕНЬ
ПУЛЬПІТУ ТА ПЕРІОДОНТИТУ
ЕНДОДОНТИЧНЕ ЛІКУВАННЯ
ЛІКУВАННЯ КОРЕНЕВИХ КАНАЛІВ
РЕСТАВРАЦІЯ ЗУБІВ
ВІДНОВЛЕННЯ ФУНКЦІЙ ЗУБА ТА ЙОГО ФОРМИ
ПРОФЕСІЙНА ГІГІЄНА РОТОВОЇ ПОРОЖНИНИ
ВІДБІЛЮВАННЯ ЗУБІВ, ВИДАЛЕННЯ ЗУБНИХ ВІДКЛАДЕНЬ - УЛЬТРАЗВУК + AIR FLOW
ПРОФІЛАКТИКА ТА ЛІКУВАННЯ ЗАХВОРЮВАНЬ ЯСЕН
ГІНГІВІТ ТА ПАРОДОНТИТ
Переваги
-
Безболісне лікуванняСучасні анестетики та методики дозволяють проводити лікування абсолютно без болю
-
Сучасні матеріалиВикористовуються тільки перевірені, якісні матеріали для довговічного результату
-
Досвідчені лікаріМи маємо багаторічний досвід та постійно підвищуємо кваліфікацію
